Vetcutis Limited offer the following services to veterinary surgeons in the UK and Europe:
A clinical veterinary dermatology referral service for practitioners in East Anglia and Yorkshire provided by Dr Alison Shearer BVetMed CertSAD MRCVS RCVS Advanced Practitioner in Small Animal Dermatology.
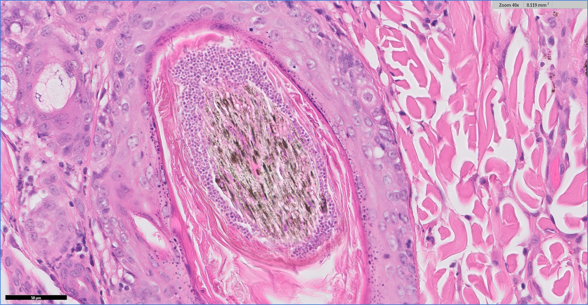
A veterinary dermatohistopathology service, VetDermPathology, to dermatologists and general practitioners who want Dr David Shearer to be part of their diagnostic team. This is not a routine general histopathology service. The service includes a second opinion / review service from previous skin biopsies supplied by dermatologists and general practitioners as well as a premium dermatopathology service for new skin biopsies via Cytopath Ltd. This is provided by Dr David Shearer BVetMed PhD CertSAD PGCertVetEd FHEA CBiol FRSB DipRCPath MRCVS. VetDermPath service details

Some of our cases through the years
Our History
David Shearer started Vetcutis Referrals in 1988 before dermatology specialisation existed. The service was peripatetic with clinics in Swansea, Newport, Wellington and home visits to clients along the M4 corridor from Bristol to Reading. Alison joined the service after completing a residency in veteirnary dermatology at the University of Britol in 1997. Vetcutis relocated to East Anglia and clinics developed in Kings Lynn and subsequently Debenham. Vetcutis Limited was established in 2003 providing a dermatology referral service, dermatology teaching and diagnostic histopathology. In the last few years Alison took over clinics in Huddersfield and Doncaster from a retiring colleague. We now provide dermatology referral clinics and a dermatohistopathology service.
